新江苏·中国江苏网讯 (记者 孙骏 通讯员 李杰 梁超)近日,南京医科大学第一附属医院(江苏省人民医院)多科专家共同合作,完成一例难度极高的手术。据悉,江苏省人民医院泌尿外科李杰教授团队,与心脏大血管科、麻醉与围术期医学科、手术室、重症医学科、输血科等多科专家联手,顺利完成一例肾癌根治术以及体外循环下右心房、腔静脉癌栓取出术。
肾癌作为泌尿系统最常见的肿瘤之一,有时可伴有癌栓形成,癌栓可沿肾静脉生长进入腔静脉,而一旦形成癌栓侵入肾静脉与下腔静脉,手术的复杂程度就会急剧上升。

是什么让“体健”的张先生陷入困境
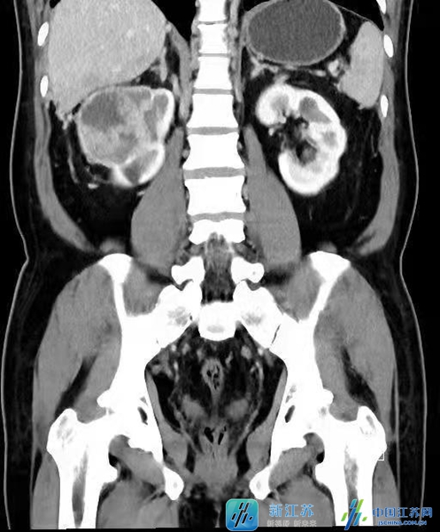
张先生今年58岁,平日里身体一直较为健朗,但在今年9月的一次体检中发现右肾长了一枚肿瘤,这可把张先生急坏了。张先生及家人在多方打听后,慕名来到江苏省人民医院李杰教授门诊就诊。李杰教授在仔细看完他的影像学检查后发现,张先生不仅右肾长了肿瘤,且肿瘤侵入右肾静脉及下腔静脉形成了癌栓,更糟糕的是癌栓上缘已右心房,甚至部分已通过二尖瓣进入右心室,瘤栓一旦脱离,张先生的随时都有生命危险,此时情况非常危险,需要立即入院接受手术治疗。虽然手术风险极大,但是如手术成功,张先生可获得良好的预后。张先生及家人虽然很紧张,但更坚信李杰教授团队的水平和能力,决定立即入院接受手术。

齐心协力,多科专家围剿危险肿瘤
由于张先生的右肾肿瘤巨大,癌栓的位置又已经到达了心房,手术过程中稍有不慎,就会出现心脏骤停以及血管破裂的情况,李杰教授在同心脏大血管外科、麻醉与围术期医学科、手术室、重症医学科、输血科多方共同探讨评估了张先生病情,并与张先生充分沟通后,定下了于开放下行肾癌根治术以及体外循环下右心房、腔静脉癌栓取出术的手术计划。
手术当天,在为张先生麻醉后,先由心脏大血管外科的邵永丰、顾卫东主任团队为其进行体外循环的搭建,为随后李杰教授团队肿瘤及癌栓的取出保驾护航。术中可见张先生右肾肿瘤与肝脏、结肠及周围动静脉粘连严重,手术难度极大。但在李杰教授的仔细又快速的分离下,右肾、右肾动静脉及下腔静脉已完全显露,随后李杰教授先后切断右肾动脉,分离并切断右侧输尿管。至此手术进入了最凶险的癌栓取出过程,李杰教授与顾卫东教授沟通后,随即阻断了远端下腔静脉、左肾静脉、肝十二指肠韧带,开启了体外循环模式,顾卫东教授剪开下腔静脉同时打开右心房,通过二尖瓣将癌栓的一端从右心室完整取出,并细心阻挡防止其脱落,与此同时,李杰教授将右肾完整游离后,沿肾静脉及下腔静脉分离癌栓,在两位教授的通力合作下,确保没有癌栓残留后,完整取出右肾及癌栓并在病人心率、血压都平稳后,恢复了患者的自主血液循环。在经过4个小时的奋战后,病人的肿瘤及癌栓终于全部被取出,手术全程病人的情况较为稳定,所有参与手术人员都是松了一口气。
术后,张先生被送入ICU进行观察护理,经过一段时间病情稳定后,又回到了泌尿外科普通病房接受术后常规治疗。目前张先生术后恢复情况良好,各项生命体征都已平稳,在李杰教授的同意下已经顺利出院,并将定期来院,于门诊接受复查。
专家带你认识癌栓,定期体检很重要
李杰教授介绍指出:伴有下腔静脉癌栓的肾癌根治加癌栓取出手术是泌尿外科难度最高的手术之一,根据国外报告,围手术期的死亡率为10%。根据美国梅约医学中心的分类法,可将癌栓分为以下五级:0级:癌栓局限于肾静脉内;I级:癌栓侵入下腔静脉内,癌栓顶端距肾静脉开口处≤2cm;II级:癌栓侵入下腔静脉内,距肾静脉开口处>2cm;III级:癌栓生长达肝内下腔静脉水平,膈肌以下;IV级:癌栓侵入膈肌以上下腔静脉内。癌栓级数越高,手术的风险与难度就越大。然而多数情况下,病人无法靠感觉来察觉到肿瘤以及癌栓,因此每年定期做一次全面体检是非常重要的。
本次IV级下腔静脉癌栓高难度手术的成功实施,展现了江苏省人民医院医师技艺精湛、多学科协作强大的综合实力。





