新江苏·中国江苏网讯 (记者 孙骏 通讯员 康丽娜 丁伟)8月8日凌晨三点,居家隔离的82岁王老突发胸闷气喘,家属赶紧联系了120,紧急送到南京鼓楼医院江北国际医院——隔离管控区非新冠患者定点医院。

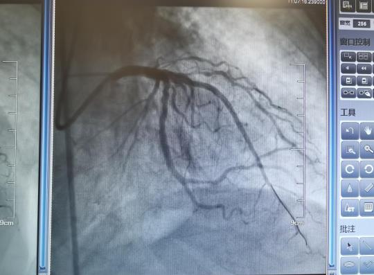
经过急诊室及时有效的救治,王老症状暂时有所缓解,但此时并未脱离危险。患者曾经有过心梗、支架术史,这又再次发生了急性心梗,并且伴有慢性心衰、慢性肾衰,病情危重。心血管内科康丽娜主任医师当机立断,将患者收住院。康丽娜主任医师决定在三级防护下给患者进行冠状动脉造影检查及介入治疗,术后血滤,在缓解王老病痛的同时,最大程度减轻造影剂对肾脏的损害。
康丽娜主任医师介绍,急性心梗介入治疗是一项高风险手术,要求术者有高超的技术和应变力。即使在平时,空调手术间内,穿着几十斤重的铅衣,也经常汗如雨下。更何况疫情期间,除了铅衣之外,还要裹上密不透气的防护服,戴上双层口罩、双层手套,这不仅是对手术人员身体素质的极大挑战,同时也是对手术医生技术的严格考验。

麻醉手术室接到手术通知后,在傅双护士长带领下按照三级防护规范充分准备。最终,凭借精湛的技术和高度的责任感,康丽娜主任医师带着助手李冠男医师,在护士王梅红和技师丁伟的默契配合下,顺利完成了冠脉造影检查,并且给王老进行了介入治疗。随着两枚支架的顺利植入,王老的血管又重新获得了充足的血液灌注。一场手术下来,大家全身湿透,但是,看着王老痛楚的眉眼舒展开来,大家都露出欣慰的笑容。术后,重症监护病房陈显成医师及护理团队及时给王老进行了血滤治疗。

2021年7月下旬以来,在全市医务工作者全力阻击疫情的艰难时刻,南京鼓楼医院心血管内科的“心”战士,一如既往,不忘初心,守护生命与健康。心血管内科已先后派出陈建州、徐华丽、李艳、徐南娇、孙春艳、陈其萍、张玲、徐梦洁等医护人员支援南京市公共卫生中心,40余名医生、护士及研究生参加核酸采集或隔离点感控工作,孙璇、戚瑜、鲍雪三位博士后作为核酸检测志愿者赴江北分院国家公共检测实验室协助检验人员开展全市核酸检测工作。鼓医“心”战士,团结一心,奋战“疫”线,为全市人民的健康保驾护航。





